![]() |
| Arizona cop Jeff Bonar punches Marissa Morris in the face. (From nydailynews.com) |
The incident, which started when Flagstaff cop Jeff Bonar and sheriff's deputy Joel Winchester tried to evict Marissa Morris and others at her residence, has profound resonance here at Legal Schnauzer. It has so many similarities with our cop-related experiences in Alabama and Missouri that it's hard to keep up with them all.
But here is our best effort to show how the various cases converge, the truths we can take from them. Taken together, the cases indicate you can be subjected to gross police abuse, no matter where you live in the country:
(1) Rogue cops have an almost innate instinct to lie about abuse of the public --
In Arizona, Officer Bonar wrote in his report that Morris had kneed him multiple times, including once in the groin, prompting him to strike her. Deputy Winchester makes no mention in his report of any aggressive behavior on Morris' part, other than repeatedly stating (correctly) that she did not have any outstanding warrants for her arrest. In Missouri, my wife Carol was slammed to the ground and an unknown officer yanked so violently on her arms that one of them was snapped in two, and the other was purple from extensive bruising. Greene County Sheriff Jim Arnott, inexplicably, was on the scene, standing about five feet away when Carol was assaulted. He immediately stated that Carol had "assaulted a police officer." I knew this statement was false because I saw the whole event from about 20 feet away, and Carol did not say or do anything to prompt the assault. She had been given permission to enter the apartment to retrieve our belongings -- as had I -- and that's what she was trying to do.
(2) Be wary when law enforcement is on hand for an eviction --
Both of these cases involved evictions. Our understanding is that sheriff deputies (usually one or two) are on hand to make sure evictions go smoothly, with the landlord's staff and tenants doing most of the work. Ours involved eight to 10 officers and probably close to a dozen assault rifles and handguns. Best we can tell, the Arizona eviction was legitimate. Ours had been stayed, by law, when we timely filed a notice of appeal in our court case. Did that have any impact on rogue cops? Nope. They had no lawful grounds to be on the Missouri property, much less to barge through the door, start waving firearms around, handcuff us, and eventually commit a brutal assault on Carol.
(3) Cops might try listening to citizens once in a while --
In Arizona, Marissa Morris repeatedly tried to tell Bonar that she did not have an outstanding warrant -- and she proved to be correct about that. Did Bonar listen to her? No, he punched her in the face. In Missouri, as I was sitting handcuffed on the lawn outside our apartment (why was I handcuffed for an eviction?), I repeatedly told Arnott that execution of our eviction was stayed because we had timely filed a notice of appeal (and paid the filing fee) within the 10-day window allowed by law. He repeatedly turned his palms upward and shrugged his shoulders, as if he had no clue about Missouri law -- on a subject he is entrusted with handling.
(4) Cops don't seem to care if they hurt someone, even women --
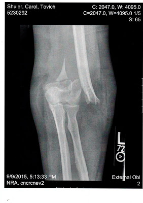
Marissa Morris apparently took a punch to the face without being hurt too badly. This must be one tough woman -- or perhaps Bonar hit her more with his palm than with his fist. The punch had to have hurt, and Morris was fortunate to escape without a broken nose or other structural damage. As for our situation in Missouri, X-rays show that Carol's left arm was essentially snapped like a twig, with the break so extreme that it required trauma surgery -- and she likely will never regain more than 75 percent use of her arm.
(5) Cops aren't big on showing warrants or offering explanations for their actions --
According to a report at copblock.org, Morris asked Bonar to see a copy of any warrant for her. He didn't show her a warrant, and he did not explain what any warrant was supposed to be about. I can identify with that. When Alabama deputy Chris Blevins entered our home, knocked me to a concrete floor three times, and doused me with pepper spray, he did it all without showing a warrant, stating he had a warrant, or stating his reason for being on our property. When told by a judge at my resisting arrest trial to produce copies of any warrants, assistant DA Tonya Willingham said she didn't have any. I've still never seen one. Copblock.org used the term "kidnapping" to describe what happened to Marissa Morris, and since I also was taken without a warrant, I've used the same term to describe my experience.
(6) Cops will hit you with a "resisting arrest" charge simply for questioning their actions --
Both Arizona officers alleged in reports that Morris "resisted." As noted above, I actually went to trial in Alabama for "resisting arrest" and was found guilty -- even though a dashboard camera caught Blevins walking into our garage without stating his reason for being there. It captures him asking me to step outside, and me telling him to (in so many words) get the hell out of our house. Under Alabama law, an arrest is unlawful when an officer enters premises without stating his reason for being there. In fact, a citizen has both a right, and a duty, to resist an unlawful arrest -- and an officer has no lawful grounds to use any force in an unlawful arrest. Morris and I acted 100 percent within our rights, but she still got punched in the face -- while I got pummeled, doused with pepper spray, and thrown in the slammer for five months.
(7) Cops and cover-ups seem to go hand in hand --
Based on press reports, it appears Officer Bonar participated in a cover-up. His report said Marissa Morris kneed him multiple times, including in the groin, while another cop on the scene made no mention of any kneeing or kicking. (Note: I've had the misfortune of being hit in the "delicates" a time or two while playing sports, usually baseball. Some advice for you young sprouts out there -- never take to a baseball or softball diamond without a cup firmly in place. No matter how uncomfortable a cup might feel, you will be glad you had one on if a ball makes direct contact with the "family jewels.") If Morris actually had kneed Bonar in the groin, I feel quite certain the officer would have been on his hands and knees, wanting to puke up his guts. His report makes no sense, and the words of another officer, indicate Bonar flat-out lied. Here in Missouri, I've written several posts about the Greene County Sheriff's Office Policies and Procedures Manual, which is supposed to govern investigations regarding use of force. The posts, which include links to the manual online, can be viewed here, here, and here.
![]() |
| X-ray of Carol Shuler's arm, broken by a sheriff's deputy |
What does that tell you? It tells me that Sheriff Arnott's department has not followed its own policies and has never conducted an investigation, serious or otherwise, about what happened during our eviction.
(8) Cops have ways of taking their body cams out of commission --
A report at CBS News on the Arizona incident included the following:
Bonar was wearing a body camera, but according to his own police report, he turned it off before approaching Morris.
Why would an officer turn off his body cam before approaching someone? (For that matter, why are body cams made so that officers can turn them off?) I can think of only one answer: Bonar knew he was likely to rough up Morris, and he wanted to make sure there was no video evidence of it. Fortunately, Morris' friends and family members were on hand to make sure the punch was captured on video. (From my research, evictions normally are under the control sheriff's departments. It's not clear why Bonar, a city police officer, was on the scene. Did he have some beef with Morris, or someone close to her, and appeared with the intention of roughing her up?)
Was there a similar mindset at play in Missouri, with us? I have little doubt about it. I suspect any cameras were removed or turned off, and if one was operational, I imagine its contents have been destroyed. We believe one police vehicle might have been parked in a way that it would capture the assault on Carol -- if it included a functioning dash camera.
Many Americans still like to think cops are looking out for them, doing that "protect and serve" thing. But if you've actually had a close encounter with a cop, you are likely to know the truth -- a lot of them are lying scumbags and bullies, who apparently take delight in hurting others and trying to cover up their misdeeds.
We've witnessed it in Alabama and Missouri, and reading about the recent case in Arizona brings a lot of that trauma back home.


24 comments:
It doesn't seem like we are making much progress on this issue. The incidents just keep on coming.
Somebody needs to kick this cop's ass. Disgraceful. A bully and a liar.
The narrative we hear the most is about black males being abused by cops -- and I think it's clear that a disproportionate share of the abuse is directed at black males. But here, you have two cases of cop thugs brutalizing white women. I don't think any of us are safe from this kind of treatment.
I think a lot of cops are stupid and disrespectful because they work for bosses who are stupid and disrespectful. Look at the Missouri sheriff in your case. You make a valid point about the automatic stay, and all the sheriff does is turn his palms upward and shrug his shoulders. This guy is statutorily charged with handling evictions -- I live in Missouri, but the same holds true is all states I'm aware of -- but he can't reply intelligently to a citizen's legit point?
Pathetic. Stupid leaders = stupid cops.
P.S. -- That the sheriff himself was on the scene tells me something fruity was going on with this situation.
In all these numbered bullets, shouldn't you say "Rogue cops" and not just "cops". You give two examples which seem to have validity, but that does not give you enough to generalize. For every example you give about "cops" going off the rails, I imagine you can also find an example of "cops" going out of their way (which is more often than not published in a newspaper". I hate generalizing in any way.
I think it's pretty clear, @12:40, that I'm not talking about each and every cop out there. I'm talking about cops we've encountered, and the one in the Arizona story -- plus the many who have been outed as rogues in other cases over past two years or so.
I had several comments yesterday about Alabama lawyer Davy Hay. Well, he has left another snarky comment at our Tues., Dec. 6 post. Thought I would repeat it here to present an idea of what a reptile this guy is. I know there are some excellent, high-minded attorneys out there, to go along with the slimeballs. This guy might be among the top 2-3 slimeballs that I've encountered. Bad lawyer, worse human.
Davy Hay said...
Roger,
Here is the thing. Most people would have guessed it would be a lark to take on your case. Maybe get a couple mentions in the paper, maybe in a law review...Then people get to know you. There was no amount of publicity that would make representing you and your tin foil hat conspiracies worth it. There is not enough paper in all the south to print a bill for the time spent listening to you drone on about "the plot" to get you.
How about this...pay your bills, do your personal work on your own time and try being civil to people. Give it a year and I bet you things start looking up for you.
Otherwise..I suspect a 3rd, 4th and beyond examples of further self censoring (and selling out to your principles) are in your future.
As for calling you...every phone owned has your number permanently blocked.
Now go get your shine box.
December 8, 2016 at 10:55 AM
legalschnauzer said...
Davy Hay --
You are pathetic. A "lark" to take on my case? And you were the one with all the high-minded rhetoric, on your Facebook page and in the press, about the First Amendment and this being the most important case you've ever done. You were lying on Facebook and to reporters then, as you are lying now -- trying to make it sound like it's my fault that you are a con man.
Your lies don't even make sense. (A) We didn't talk on the phone much; (B) You took my case after I had explained everything to you, so you didn't think it was about conspiracies then; (C) I only became a "loon" once you had encountered Bill Baxley, and he (or someone like him) convinced to you sell out your own client.
It's not a surprise that you would try to blame me once you've been outed for your complete lack of ethics. And it's interesting that you avoid answering the questions I put to you:
December 8, 2016 at 4:12 PM
Anon at 9:26
I wish I could go all the way to Madison Alabama to kick Eric Parker''s ass and make sure the sorry son of a bitch never works as a cop again. The city of Madison will be much safer without him on the streets. I want to paralyze the bastard. Just like he paralyzed that old Indian grandfather. Officer Eric Parker deserves to be paralyzed. What's more I want to stop in Shelby County and kick Officer Chris Blevins' ass!
Davy Hay sounds like one of the biggest a-holes on the planet. I wouldn't hire him to handle a traffic ticket for me. Hope you get him disbarred.
People need to know what Davy Hay is really like. He's pissed because I've unmasked him on this blog, and I'm going to unmask him some more. He's screwed around with the wrong guy.
Are you entirely sure you have been hearing from David Hay and not another critic who is being satiracle?
Be aware that yanking your chain I like that ia not beyond the realm of possibility.
@12:25 -- Here is his email address. Why don't you ask him? It sounds like him to me.
davyhay@gmail.com
When you get an eviction notice, leave well ahead of the deadline, especially if you are not going to be paying your rent.
Emails can be spoofed, you know. If someone wanted to mess with you, accounts are easy to create (even with a name not one's own.) You should be a little cautious.
@12:58 -- Don't know what you are talking about. I've made no reference to an e-mail, spoofed or otherwise, not sure where you are coming from.
@12:53 -- What expertise to you have in landlord/tenant law? The answer apparently is none.
I can only speak for Missouri law because that's the only place I've encountered this issue, but here, any tenant can challenge the eviction, especially on breach of contract grounds (which we did), and if tenant does not get relief in trial court, you have 10 days in which to file a notice of appeal. During that 10 days, landlord cannot take any action on eviction, and the notice of appeal puts a stay on the proceedings until issues are decided at appellate level. Contrary to what your scrambled mind believes, tenants to have a few rights -- and this is one of them. If the landlord violates terms of the lease -- as they blatantly did in our case -- the tenant can challenge the eviction in court.
I took the time to explain that because I think it could be important news for my readers. I could not care less whether you read it or not because it's clear that you are a troll and a general piece of crap. Your agenda of deceit is easy to detect.
So, @12:53, you are saying it's the woman's fault in Arizona that the cop punched her in the face? It's Carol Shuler's fault that a cop broke her arm in Missouri? If you believe that, you really are an ass hat.
Perhaps there are other facts in Morris' case that we don't know, but it looks a civil lawsuit is in order.
There is less of a need to rely on internal investigations or politics to get justice. Yes, litigating can be a hassle and take a long time, but at least you'll have a jury of your peers to convince, and not some police supervisor or politician to persuade that the police officer did the wrong thing.
Memo to @4:47 --
Feel free to contact me at rshuler3156@gmail.com or (205) 381-5673. Be prepared to give your real name, contact info, and place of employment, and I will be glad to discuss the issues your raise. Of course, I know you aren't going to do that because you are a fraud who has no clue what he's talking about. But at least I made the offer. Now, the ball is in your court.
Asshole cop, meet asshole blogger. Let the games begin!
Back off there, Roger. How’s about you save up all that energy for a trip to the Moon? Go on, get out of here. Hippity hop to the barbershop. Come on, daddy :-)
Many celebrate this hack, gleeful that “cheaters” are getting their comeuppance. Well I suggest we stay out of other people’s bedrooms, even when the lurid details of those bedrooms are on a platter for us on the Internet. Those reveling in the hack, like Roger here, calling it a karmic triumph, should really self-examine. Not just their own relationship and trust issues, but do they really condone the idea that the right to privacy should be on a continuum based on a person’s moral turpitude.
Get cancer, Roger.
It’s well established at this point that much of the Ashley Madison data is just not accurate. Looks like you'll be either sued or beaten up eventually. I can't wait.
Amy, whatever your intent was when expressing your opinion was lost when you wished cancer on L.S. Really it is a tad over board. I would seriously question whether you had good judgement or not.
Now A. 1:01 p.m. you can't wait for Roger to be beaten up. Now that is again a statement which demonstrates you do not lack good judgement. Beating some one up is a crime. If some one were to loose their life in such an encounter it would be a case of murder. Is this seriously what you are advocating? whether A.M.'s data is accurate or not, the people who L.S. wrote about seem angry about being "outed", not that their name was on the rolls at A.M. Don't get mad at Roger. He is simply reporting. do try to remember the American Constitution gives people the right to freedom of expression, and the freedom of the press. If you want only happy light stuff, I'd suggest you might be happier reading decorating magazines and blogs. You come to a political blogger expect to read things you don't like. Although many do consider this blog a legal blog and last year was consider one of the 10 best legal blogs in America.
Post a Comment